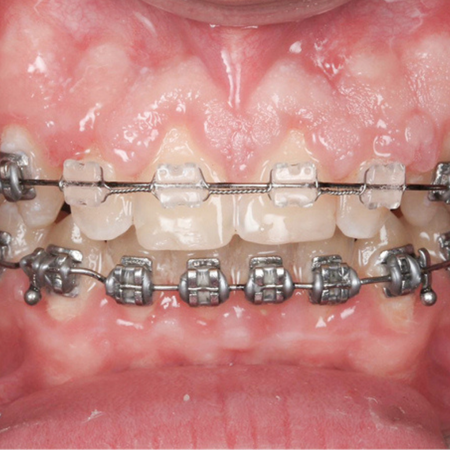
Artigo: Sutilezas clínicas para o ortodontista estar esperto - Clinical 2025 v24n04 - Clinical Orthodontics


Sutilezas clínicas para o ortodontista estar esperto

Controvérsias na Ortodontia

INTRODUÇÃO: Algumas situações são apontadas como decorrentes do tratamento ortodôntico, mas não o são. Em três situações sutis, o ortodontista deve estar esperto para explicar, aos pacientes e a outros especialistas, as verdadeiras causas que podem ocorrer antes, durante e depois do tratamento ortodôntico. METODOLOGIA: A partir da experiência clínica e experimental prévia, se reviu a etiopatogenia e a abordagem clínica dessas três situações. RESULTADOS: Essas três situações sutis são: 1) anquilose alveolodentária e subsequente e consequente reabsorção por...

Autores: Alberto Consolaro, Basílio J. Bernal Júnior, Ingrid A. O. Consolaro, Maurício Cardoso de ALMEIDA, 

ARTIGO ANTERIOR
Alinhadores e ancoragem esquelética: quando a Ortodontia digital se alinha à biomecânica
Alinhadores e ancoragem esquelética: quando a Ortodontia digital se alinha à biomecânica

Há pouco tempo, a ideia de tratar casos complexos exclusivamente com alinhadores parecia ousada — talvez até utópica. Eu posso até estar equivocado, mas creio que, nos próximos 10 ou 20 anos, dificilmente a Ortodontia caminhará em um rumo diferente daquele que já vivenciamos hoje. A integração entre alinhadores e a ancoragem esquelética representa uma revolução que veio para ficar na Ortodontia moderna. Essa associação amplia a previsibilidade biomecânica e vence as...

Leia mais
Entrevista com Maria Luiza Oliveira
Entrevista com Maria Luiza Oliveira

É com imenso carinho e respeito que apresentamos a Profa. Maria Luiza Oliveira, uma mulher cuja trajetória é marcada por escolhas conscientes, dedicação profunda e um olhar atento ao que realmente importa. Nascida em Belo Horizonte, ela descobriu ainda muito jovem sua vocação para o cuidado com o outro. Aos 15 anos, escolheu o Magistério, desejando alfabetizar crianças e transformar vidas por meio da educação. Ingressou no curso de Pedagogia, mas o destino, com sua delicada...

Leia mais
Tratamento precoce de má oclusão de Classe II esquelética com Ortopedia Funcional: estabilidade após 15 anos
Tratamento precoce de má oclusão de Classe II esquelética com Ortopedia Funcional: estabilidade após 15 anos

OBJETIVO: Este artigo tem como objetivo apresentar um caso clínico de um paciente com 7 anos de idade, má oclusão de Classe II, divisão 1, e importante protrusão dos incisivos superiores. RELATO DO CASO: O tratamento precoce proposto foi o uso de um aparelho ortopédico funcional. O tratamento durou 10 meses e ótimos resultados dentofaciais foram alcançados. Após 3 anos, a fase 2 foi realizada com aparelhos fixos e elástico de Classe II, atingindo resultados clínicos dentofaciais...

Leia mais
Tratamento de Classe Il usando uma estratégia biomecânica para avanço mandibular com alinhadores
Tratamento de Classe Il usando uma estratégia biomecânica para avanço mandibular com alinhadores

INTRODUÇÃO: A má oclusão de Classe II é frequente, e diversas abordagens terapêuticas têm sido utilizadas, incluindo aparelhos ortopédicos funcionais e, mais recentemente, alinhadores com recursos de avanço mandibular. OBJETIVO: Relatar dois casos clínicos de pacientes com má oclusão de Classe II tratados com alinhadores ortodônticos, utilizando avanço mandibular, evidenciando os efeitos dentoesqueléticos obtidos e reforçando a importância do momento adequado para início da...

Leia mais
Extrusão ortodôntica rápida para reconstrução de molares: relato de caso
Extrusão ortodôntica rápida para reconstrução de molares: relato de caso

INTRODUÇÃO: Diante de cáries profundas e reconstruções dentárias, o dentista pode precisar que os dentes sejam extruídos, para preservar a largura biológica. A Ortodontia oferece várias maneiras de atingir esse objetivo, mas a escolha ideal é sempre desafiadora. OBJETIVO: Este artigo tem como objetivo ilustrar um método simples para extruir um molar que requer reabilitação protética. RELATO DE CASO: Foi realizada a extrusão ortodôntica rápida de um molar superior que...

Leia mais
Tratamento de Classe II com alinhadores Self®: relato de caso clínico
Tratamento de Classe II com alinhadores Self®: relato de caso clínico

INTRODUÇÃO: Os alinhadores ortodônticos têm revolucionado a maneira de tratar as mais diversas más oclusões, proporcionando aos pacientes maior conforto, estética e facilidade na higienização, além de reduzir a necessidade de consultas de emergência e a quantidade de visitas ao consultório. No entanto, se essa tecnologia não for compreendida adequadamente, pode virar um problema para o ortodontista. Entre as dificuldades de se tratar pacientes com alinhadores, encontram-se:...

Leia mais
Camuflagem de Classe III esquelética em paciente jovem com assimetria mandibular, utilizando ancoragem esquelética
Camuflagem de Classe III esquelética em paciente jovem com assimetria mandibular, utilizando ancoragem esquelética

OBJETIVO: Relatar o caso clínico de paciente com má oclusão de Classe III esquelética, assimetria mandibular e mordida aberta anterior. CASO CLÍNICO: O tratamento escolhido foi a camuflagem da Classe III, com instalação de miniplacas na região infrazigomática e na região dos caninos inferiores, bilateralmente. Inicialmente, foram utilizados elásticos intermaxilares com forças assimétricas, visando a correção do desvio da linha média e da relação molar. Após o...

Leia mais
Sutilezas clínicas para o ortodontista estar esperto
Sutilezas clínicas para o ortodontista estar esperto

INTRODUÇÃO: Algumas situações são apontadas como decorrentes do tratamento ortodôntico, mas não o são. Em três situações sutis, o ortodontista deve estar esperto para explicar, aos pacientes e a outros especialistas, as verdadeiras causas que podem ocorrer antes, durante e depois do tratamento ortodôntico. METODOLOGIA: A partir da experiência clínica e experimental prévia, se reviu a etiopatogenia e a abordagem clínica dessas três situações. RESULTADOS: Essas três...

Leia mais
Alineadores y anclaje esquelético: cuando la Ortodoncia digital se alinea con la biomecánica
Alineadores y anclaje esquelético: cuando la Ortodoncia digital se alinea con la biomecánica

No hace mucho, la idea de tratar casos complejos exclusivamente con alineadores parecía audaz, incluso utópica. Puede que me equivoque, pero creo que, en los próximos 10 o 20 años, la Ortodoncia difícilmente se desviará de la dirección actual. La integración de alineadores y anclaje esquelético representa una revolución que ha llegado para quedarse en la Ortodoncia moderna. Esta combinación aumenta la predictibilidad biomecánica y supera las limitaciones impuestas por el...

Leia mais
Entrevista con Maria Luiza Oliveira
Entrevista con Maria Luiza Oliveira

Es con inmenso cariño y respeto que presentamos a la profesora Maria Luiza Oliveira, una mujer cuya trayectoria está marcada por decisiones conscientes, una profunda dedicación y una aguda percepción de lo que realmente importa. Nacida en Belo Horizonte, descubrió desde muy joven su vocación por cuidar a los demás. A los 15 años, eligió la docencia, con el deseo de educar a los niños y transformar vidas a través de la enseñanza. Se matriculó en un curso de Pedagogía, pero el...

Leia mais
Tratamiento precoz de la maloclusión esquelética de Clase II con ortopedia funcional: estabilidad después de 15 años
Tratamiento precoz de la maloclusión esquelética de Clase II con ortopedia funcional: estabilidad después de 15 años

OBJETIVO: Este artículo presenta el caso clínico de un paciente de 7 años con maloclusión de Clase II, división 1 y protrusión significativa de los incisivos superiores. INFORME DEL CASO: El tratamiento inicial propuesto consistió en la colocación de un aparato ortopédico funcional. El tratamiento duró 10 meses y se obtuvieron excelentes resultados dentofaciales. Tras 3 años, se realizó una segunda fase con aparatos fijos y elásticos de Clase II, logrando resultados clínicos...

Leia mais
Tratamiento de la maloclusión de Clase II mediante una estrategia biomecánica para el avance mandibular con alineadores
Tratamiento de la maloclusión de Clase II mediante una estrategia biomecánica para el avance mandibular con alineadores

INTRODUCCIÓN: La maloclusión de Clase II es frecuente y se han utilizado diversos abordajes terapéuticos, incluyendo aparatos ortopédicos funcionales y, más recientemente, alineadores con avance mandibular. OBJETIVO: Presentar dos casos clínicos de pacientes con maloclusión de Clase II tratados con alineadores ortodóncicos con avance mandibular, destacando los efectos dentoesqueléticos obtenidos y reforzando la importancia de iniciar el tratamiento ortopédico en el momento oportuno.

Leia mais
Extrusión ortodóncica rápida para la reconstrucción de molares: reporte de un caso
Extrusión ortodóncica rápida para la reconstrucción de molares: reporte de un caso

INTRODUCCIÓN: En casos de caries profundas y reconstrucciones dentales, los odontólogos pueden necesitar extruir dientes para preservar el ancho biológico. La Ortodoncia ofrece diversas maneras de lograr este objetivo, pero elegir el método ideal siempre representa un reto. OBJETIVO: Este artículo tiene como objetivo ilustrar un método sencillo para la extrusión de un molar que requiere rehabilitación protésica. CASO CLÍNICO: Se realizó una extrusión ortodóncica rápida de un...

Leia mais
Tratamiento de la maloclusión de Clase II con alineadores Self®: informe de caso clínico
Tratamiento de la maloclusión de Clase II con alineadores Self®: informe de caso clínico

INTRODUCCIÓN: Los alineadores ortodóncicos han revolucionado el tratamiento de diversas maloclusiones, brindando a los pacientes mayor comodidad, estética y facilidad de higiene, además de reducir la necesidad de consultas de urgencia y el número de visitas al consultorio. Sin embargo, si esta tecnología no se comprende adecuadamente, puede convertirse en un problema para el ortodoncista. Entre las dificultades del tratamiento con alineadores se encuentran: errores diagnósticos,...

Leia mais
Camuflaje de Clase III esquelética en un paciente joven con asimetría mandibular, utilizando anclaje esquelético
Camuflaje de Clase III esquelética en un paciente joven con asimetría mandibular, utilizando anclaje esquelético

OBJETIVO: Presentar el caso clínico de un paciente con maloclusión esquelética de Clase III, asimetría mandibular y mordida abierta anterior. CASO CLÍNICO: El tratamiento elegido consistió en el camuflaje de la maloclusión de Clase III mediante la colocación de miniplacas en la región infrazigomática y en la región de los caninos inferiores, bilateralmente. Inicialmente, se utilizaron elásticos intermaxilares con fuerzas asimétricas para corregir la desviación de la línea...

Leia mais
Aspectos clínicos que los ortodoncistas deben tener en cuenta
Aspectos clínicos que los ortodoncistas deben tener en cuenta

INTRODUCCIÓN: Algunas situaciones se atribuyen al tratamiento de Ortodoncia, pero no lo son. En tres casos sutiles, el ortodoncista debe explicar con precisión a los pacientes y a otros especialistas las verdaderas causas que pueden presentarse antes, durante y después del tratamiento. Metodología: Basándonos en la experiencia clínica y experimental previa, se revisó la etiopatogenia y el abordaje clínico de estas tres situaciones. RESULTADOS: Estas tres situaciones sutiles son: 1)...

Leia mais
Aligners and skeletal anchorage: When digital orthodontics aligns with biomechanics
Aligners and skeletal anchorage: When digital orthodontics aligns with biomechanics

Not long ago, the idea of treating complex cases exclusively with aligners seemed daring—perhaps even utopian. I may be wrong, but I believe that, in the next 10 or 20 years, orthodontics will hardly move in a different direction from the one we are experiencing today. The integration between aligners and skeletal anchorage represents a revolution that is here to stay in modern orthodontics. This combination increases biomechanical predictability and overcomes the limitations imposed by...

Leia mais
Interview with Maria Luiza Oliveira
Interview with Maria Luiza Oliveira

It is with immense affection and respect that we present Professor Maria Luiza Oliveira, a woman whose journey is marked by conscious choices, profound dedication, and a keen eye for what truly matters. Born in Belo Horizonte, she discovered her vocation for caring for others at a very young age. At 15, she chose teaching, wishing to educate children and transform lives through education. She enrolled in a Pedagogy course, but fate, with its delicate wisdom, led her down a new path:...

Leia mais
Early treatment of skeletal Class II malocclusion with functional orthopedics: stability after 15 years
Early treatment of skeletal Class II malocclusion with functional orthopedics: stability after 15 years

OBJECTIVE: The objective of this article was to present a clinical case of a 7-year-old patient with Class II, division 1 malocclusion and important protrusion of maxillary incisors. CASE REPORT: The proposed early treatment was to use a modified functional orthopedic appliance. The treatment lasted 10 months and excellent dentofacial results were achieved. After 3 years, phase 2 was performed with fixed appliance and Class II elastics. Satisfactory dentofacial clinical results were...

Leia mais
Class II treatment using a biomechanical strategy for mandibular advancement with aligners
Class II treatment using a biomechanical strategy for mandibular advancement with aligners

INTRODUCTION: Class II malocclusion is common, and various therapeutic approaches have been used, including functional orthopedic appliances and, more recently, aligners with mandibular advancement features. OBJECTIVE: To report two clinical cases of patients with Class II malocclusion treated with orthodontic aligners using mandibular advancement, highlighting the dentoskeletal effects obtained and reinforcing the importance of the appropriate timing for initiating orthopedic therapy.

Leia mais
Rapid orthodontic extrusion for molar reconstruction: A case report
Rapid orthodontic extrusion for molar reconstruction: A case report

INTRODUCTION: In the presence of deep cavities and dental reconstruction, the dentist may need the teeth to be extruded to preserve the biological width. Orthodontics offers several ways to achieve this goal, but the ideal choice is always challenging. OBJECTIVE: This report aims to illustrate a straightforward method for extruding a molar requiring prosthetic rehabilitation. CASE REPORT: This case reports the rapid orthodontic extrusion of an maxillary molar that required prosthetic...

Leia mais
Class II treatment with Self® aligners: A clinical case report
Class II treatment with Self® aligners: A clinical case report

INTRODUCTION: Orthodontic aligners are revolutionizing the treatment of various malocclusions, offering greater comfort, aesthetics, and ease of oral hygiene. They also reduce the need for emergency visits and the number of appointments. However, if this technology is not properly understood, it can become a challenge for the orthodontist. Among the difficulties in treating patients with aligners, we can find diagnostic errors, inexperience with digital planning software, and a lack of...

Leia mais
Skeletal Class III camouflage in a young patient with mandibular asymmetry using skeletal anchorage
Skeletal Class III camouflage in a young patient with mandibular asymmetry using skeletal anchorage

OBJECTIVE: To report the clinical case of a patient with skeletal Class III malocclusion, mandibular asymmetry, and anterior open bite. CASE REPORT: The chosen treatment approach was Class III camouflage, with the installation of miniplates in the infrazygomatic crest and in the lower canine region, bilaterally. Initially, intermaxillary elastics with asymmetric forces were used to correct the midline deviation and molar relationship. After achieving Class I molar and canine relationships, a...

Leia mais
Clinical subtleties for orthodontists to be aware of
Clinical subtleties for orthodontists to be aware of

INTRODUCTION: Some situations are attributed to orthodontic treatment, but this is not the case. In three subtle situations, orthodontists must be alert to explain to patients and other specialists the true causes that may occur before, during, and after orthodontic treatment. METHODOLOGY: Based on previous clinical and experimental experience, the etiopathogenesis and clinical approach to these three situations were reviewed. RESULTS: The three subtle situations are: 1) Alveolodental...

Leia mais

Copyright © 1998 - 2022 DentalGO | Todos Direitos Reservados. DentalGO é uma marca Dental Press