Artigo: Intrusão do segundo molar superior com ancoragem esquelética - Clinical 2025 v24n03 - Clinical Orthodontics


Intrusão do segundo molar superior com ancoragem esquelética

Artigo

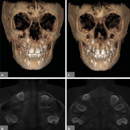
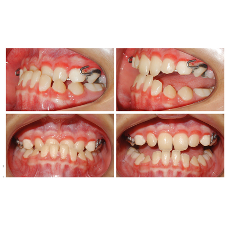
INTRODUÇÃO: A ancoragem esquelética permite intervenções pontuais direcionadas a uma correção prévia à reabilitação protética, seja coroa ou implante dentário. Pacientes com pouca estrutura óssea ou que não permitem tratamento ortodôntico prévio podem apresentar limitações no uso da ancoragem esquelética. OBJETIVO: Apresentar um relato de caso clínico envolvendo a intrusão de um segundo molar superior para correção do espaço interoclusal, possibilitando a reabilitação de seu antagonista. Trata-se de um caso com resolução rápida e eficaz, no qual a instalação...

Autores: Renata Rodrigues De Almeida-Pedrin, Alan Camara LINS, Ana Karolina Almeida de LIMA, Thais Moraes CARMO, Nayara Alves BRANDÃO, 

Segundos molares impactados. Se você ainda não tratou algum caso, um dia tratará!
Segundos molares impactados. Se você ainda não tratou algum caso, um dia tratará!

Ahhh, os segundos molares! Pois é, aqui estou, novamente, para colocar esse assunto em discussão, haja vista que, nos últimos anos, vivenciei no meu consultório uma “epidemia” de segundos molares impactados, especialmente na arcada inferior. Pode até ser coincidência, mas o fato é que venho me deparando frequentemente com essa situação de árdua solução mecânica e que pode aumentar demasiadamente o tempo de tratamento.

Leia mais
Entrevista com Gilles Lavigne
Entrevista com Gilles Lavigne

Gilles Lavigne é um dentista e cientista clínico que concluiu seu DMD e seu mestrado em Neurociência na Universidade de Montreal, e seu PhD na Universidade de Toronto, Canadá. Ele também recebeu treinamento especializado em Medicina Oral na Georgetown University, Washington, DC, e treinamento de pós-doutorado em Neurobiologia e Farmacologia da Dor no NIH (National Institutes of Health, Bethesda, Maryland, EUA).

Leia mais
Diferentes técnicas ortodônticas para desrotação de dentes posteriores
Diferentes técnicas ortodônticas para desrotação de dentes posteriores

INTRODUÇÃO: Na dentição permanente, é comum encontrar pré-molares e molares com rotações acentuadas em seu longo eixo. Em alguns casos, a correção não é viável, devido ao tempo clínico necessário. No entanto, quando possível, essa correção pode ser realizada por meio de aparelhos fixos, acessórios ortodônticos ou com o auxílio da ancoragem esquelética. OBJETIVO: Este artigo tem como objetivo apresentar diferentes abordagens ortodônticas, das menos às mais invasivas,...

Leia mais
Intrusão do segundo molar superior com ancoragem esquelética
Intrusão do segundo molar superior com ancoragem esquelética

INTRODUÇÃO: A ancoragem esquelética permite intervenções pontuais direcionadas a uma correção prévia à reabilitação protética, seja coroa ou implante dentário. Pacientes com pouca estrutura óssea ou que não permitem tratamento ortodôntico prévio podem apresentar limitações no uso da ancoragem esquelética. OBJETIVO: Apresentar um relato de caso clínico envolvendo a intrusão de um segundo molar superior para correção do espaço interoclusal, possibilitando a...

Leia mais
Invisalign Palatal Expander: uma nova opção para expansão rápida da maxila em pacientes em crescimento
Invisalign Palatal Expander: uma nova opção para expansão rápida da maxila em pacientes em crescimento

INTRODUÇÃO: O Invisalign Palatal Expander (IPE) é uma inovação recente desenvolvida pela Align Technology, lançado no Brasil em 2025, com o objetivo de promover a expansão rápida da maxila em pacientes em crescimento. OBJETIVO: Este artigo apresenta um caso clínico de um paciente com 7 anos de idade, mordida cruzada posterior unilateral, tratado com o uso do IPE, destacando a evolução clínica e os resultados obtidos. RELATO DO CASO: Foram utilizados 40 expansores, totalizando 10...

Leia mais
Variações na aplicação da força no distalizador tipo Carriere. Parte II: efeito nos molares inferiores
Variações na aplicação da força no distalizador tipo Carriere. Parte II: efeito nos molares inferiores

INTRODUÇÃO: Essa Parte II discute sobre a diagramação mecânica de distalizadores tipo Carriere. OBJETIVO: O objetivo é analisar o impacto dessa diagramação no plano vertical/anteroposterior da dentição inferior. CONCLUSÃO: Foi realizada uma análise do posicionamento dos acessórios de apoio, sugerindo que a aplicação da força no primeiro molar, deslocada para mesial, reduz a tendência a angulações indesejadas, minimizando os efeitos colaterais.

Leia mais
Fechamento de espaços com mini-implantes em paciente Classe III esquelética com agenesia dentária múltipla: relato de caso
Fechamento de espaços com mini-implantes em paciente Classe III esquelética com agenesia dentária múltipla: relato de caso

INTRODUÇÃO: O gerenciamento dos espaços das agenesias dentárias é frequentemente relatado como um desafio adicional para o tratamento ortodôntico e, quando associado à má oclusão esquelética, torna o tratamento mais complexo. OBJETIVO: Neste relato de caso, objetivou-se apresentar um tratamento ortopédico seguido de tratamento ortodôntico compensatório de um paciente Classe III esquelética severa com agenesia dentária múltipla. RELATO DE CASO: Paciente do sexo masculino, com...

Leia mais
Tratamento compensatório da má oclusão de Classe II hiperdivergente: relato de caso
Tratamento compensatório da má oclusão de Classe II hiperdivergente: relato de caso

INTRODUÇÃO: O tratamento da má oclusão de Classe II hiperdivergente representa um desafio significativo para os ortodontistas. Quando a cirurgia ortognática não é uma opção, a camuflagem ortodôntica, que frequentemente envolve a extração de pré-molares, pode ser uma alternativa viável. OBJETIVO: Relatar o caso clínico de um paciente do sexo masculino, com 18 anos de idade, má oclusão esquelética de Classe II, protrusão, selamento labial forçado, perfil facial convexo e...

Leia mais
Prevalência de má oclusão e variáveis associadas em crianças de até quatro anos acompanhadas na atenção primária à saúde no sul do Brasil
Prevalência de má oclusão e variáveis associadas em crianças de até quatro anos acompanhadas na atenção primária à saúde no sul do Brasil

INTRODUÇÃO: A má oclusão pode ter causas hereditárias/ congênitas e/ou adquiridas. É considerada uma desarmonia entre os dentes e os tecidos musculoesqueléticos da face que se estabelece ao longo do crescimento e desenvolvimento, resultante de uma combinação de fatores predisponentes, como fatores sociais e comportamentais, que poderiam ser evitados. OBJETIVO: Determinar a prevalência de má oclusão em crianças de até quatro anos de idade e sua associação com características...

Leia mais
Retratamento ortodôntico compensatório da Classe II esquelética e dentária com uso de elásticos intermaxilares com forças assimétricas: relato de caso
Retratamento ortodôntico compensatório da Classe II esquelética e dentária com uso de elásticos intermaxilares com forças assimétricas: relato de caso

OBJETIVO: O presente relato de caso descreve o retratamento ortodôntico de um paciente de 17 anos e 11 meses de idade, portador de má oclusão Classe II esquelética e dentária, com diastemas na arcada superior após sete anos de tratamento incompleto. RELATO DO CASO: O diagnóstico revelou perfil facial convexo, retrusão mandibular, inclinação do plano oclusal e relação de Classe II Divisão 2 subdivisão direita, com sobremordida profunda. O plano de tratamento proposto consistiu...

Leia mais
Segundos molares impactados. Si aún no has tratado un caso, ¡algún día lo harás!
Segundos molares impactados. Si aún no has tratado un caso, ¡algún día lo harás!

¡Ah, los segundos molares! Bueno, aquí estoy de nuevo para hablar de este tema, dado que, en los últimos años, he experimentado una “epidemia” de segundos molares impactados en mi consultorio, especialmente en la arcada inferior. Puede que incluso sea coincidencia, pero lo cierto es que me he encontrado con frecuencia con esta situación de difícil solución mecánica, que puede aumentar significativamente el tiempo de tratamiento.

Leia mais
Entrevista con Gilles Lavigne
Entrevista con Gilles Lavigne

Gilles Lavigne es un dentista y científico clínico que completó su DMD y su maestría en Neurociencia en la Universidad de Montreal, y su doctorado en la Universidad de Toronto, Canadá. También recibió formación especializada en Medicina Oral en la Universidad de Georgetown, Washington, DC, y formación postdoctoral en Neurobiología y Farmacología del Dolor en el NIH (National Institutes of Health, Bethesda, Maryland, EE. UU.).

Leia mais
Diferentes técnicas de ortodoncia para la desrotación de dientes posteriores
Diferentes técnicas de ortodoncia para la desrotación de dientes posteriores

INTRODUCCIÓN: En la dentición permanente, es frecuente encontrar premolares y molares con rotaciones marcadas a lo largo de su eje longitudinal. En algunos casos, la corrección no es factible debido al tiempo requerido para el tratamiento. Sin embargo, cuando es posible, esta corrección puede lograrse con aparatología fija, accesorios de ortodoncia o con la ayuda de anclaje esquelético. OBJETIVO: Este artículo busca presentar diferentes abordajes ortodóncicos, desde los menos...

Leia mais
Intrusión del segundo molar superior con anclaje esquelético
Intrusión del segundo molar superior con anclaje esquelético

INTRODUCCIÓN: El anclaje esquelético permite intervenciones específicas dirigidas a la corrección previa a la rehabilitación protésica, ya sea corona o implante dental. Los pacientes con estructura ósea limitada o que no permiten un tratamiento de ortodoncia previo pueden tener limitaciones en el uso del anclaje esquelético. OBJETIVO: Presentar el reporte de un caso clínico con intrusión de un segundo molar maxilar para corregir el espacio interoclusal, permitiendo la...

Leia mais
Expansor palatino Invisalign: una nueva opción para una expansión rápida de la maxila en pacientes en crecimiento
Expansor palatino Invisalign: una nueva opción para una expansión rápida de la maxila en pacientes en crecimiento

INTRODUCCIÓN: El Invisalign Palatal Expander (IPE) es una innovación reciente desarrollada por Align Technology, lanzada en Brasil en 2025, con el objetivo de promover la expansión rápida de la maxila en pacientes en crecimiento. OBJETIVO: Este artículo presenta un caso clínico de un paciente de 7 años con mordida cruzada posterior unilateral tratado con el IPE, destacando la evolución clínica y los resultados obtenidos. Informe de caso: Se utilizaron cuarenta expansores,...

Leia mais
Variaciones en la aplicación de fuerza con el distalizador Carriere. Parte II: Efecto en los molares inferiores
Variaciones en la aplicación de fuerza con el distalizador Carriere. Parte II: Efecto en los molares inferiores

INTRODUCCIÓN: Esta Parte II analiza el diseño mecánico de los distalizadores tipo Carriere. Objetivo: Analizar el impacto de este diseño en el plano vertical/anteroposterior de la dentición inferior. CONCLUSIÓN: Se realizó un análisis de la posición de los accesorios de soporte, sugiriendo que la aplicación de fuerza sobre el primer molar, desplazado mesialmente, reduce la tendencia a angulaciones indeseadas, minimizando así los efectos secundarios

Leia mais
Cierre de espacios con miniimplantes en un paciente de Clase III esquelética con agenesia dentaria múltiple: reporte de caso
Cierre de espacios con miniimplantes en un paciente de Clase III esquelética con agenesia dentaria múltiple: reporte de caso

INTRODUCCIÓN: El manejo del espacio de la agenesia dental a menudo se informa como un desafío adicional para el tratamiento de Ortodoncia y, cuando se asocia con maloclusión esquelética, hace que el tratamiento sea más complejo. OBJETIVO: En este reporte de caso, el objetivo fue presentar un tratamiento ortopédico seguido de un tratamiento ortodóncico compensatorio de un paciente Clase III esquelética severa con agenesia dental múltiple.

Leia mais
Tratamiento compensatorio de la maloclusión de Clase II hiperdivergente: reporte de un caso
Tratamiento compensatorio de la maloclusión de Clase II hiperdivergente: reporte de un caso

INTRODUCCIÓN: El tratamiento de la maloclusión de Clase II hiperdivergente representa un desafío significativo para los ortodoncistas. Cuando la cirugía ortognática no es una opción, el camuflaje ortodóncico, que a menudo implica la extracción de premolares, puede ser una alternativa viable. OBJETIVO: Reportar el caso clínico de un paciente masculino de 18 años con maloclusión esquelética de Clase II, protrusión, sellado labial forzado, perfil facial convexo y mandíbula...

Leia mais
Prevalencia de maloclusión y variables asociadas en niños de hasta cuatro años de edad acompañados en atención primaria de salud en el sur de Brasil
Prevalencia de maloclusión y variables asociadas en niños de hasta cuatro años de edad acompañados en atención primaria de salud en el sur de Brasil

INTRODUCCIÓN: la maloclusión puede tener causas hereditarias/congénitas y/o adquiridas. Se considera una desarmonía entre los dientes y los tejidos musculoesqueléticos de lo rostro que se desarrolla a lo largo del crecimiento y el desarrollo, como resultado de una combinación de factores predisponentes, como factores sociales y de comportamiento, que podrían prevenirse.

Leia mais
Retratamiento ortodóncico compensatorio de Clase II esquelética y dental con el uso de elásticos intermaxilares con fuerzas asimétricas: reporte de caso
Retratamiento ortodóncico compensatorio de Clase II esquelética y dental con el uso de elásticos intermaxilares con fuerzas asimétricas: reporte de caso

OBJETIVO: Este reporte de caso describe el retratamiento ortodóncico de un paciente de 17 años y 11 meses de edad con maloclusión esquelética y dental de Clase II y diastemas en la arcada superior después de siete años de tratamiento incompleto. REPORTE DE CASO: El diagnóstico reveló un perfil facial convexo, retrusión mandibular, inclinación del plano oclusal y una relación de subdivisión derecha de Clase II división 2 con sobremordida vertical profunda.

Leia mais
Impacted second molars. If you haven’t had one yet, one day you will!
Impacted second molars. If you haven’t had one yet, one day you will!

Ahhh, second molars! Here I am again to discuss this subject since I have experienced an “epidemic” of impacted second molars in my practice in recent years, especially in the lower arch. It may be a coincidence, but I have often encountered this difficult-to-solve situation, which can increase treatment time significantly.

Leia mais
Interview with  Gilles Lavigne
Interview with Gilles Lavigne

Gilles Lavigne is a dentist and clinical scientist who completed his DMD and his master’s degree in Neuroscience at the Université de Montréal and his PhD at the University of Toronto, Canada.

Leia mais
Different orthodontic techniques  for derotation of posterior teeth
Different orthodontic techniques for derotation of posterior teeth

INTRODUCTION: In the permanent dentition, it is common to find premolars and molars with pronounced rotations along their long axis. In some cases, correction is not feasible due to the clinical time required. However, when possible, this correction can be achieved using fixed appliances, orthodontic auxiliaries, or skeletal anchorage. OBJECTIVE: This article aims to present different orthodontic approaches, ranging from less to more invasive, for the correction of severely rotated posterior...

Leia mais
Maxillary second molar intrusion with  skeletal anchorage
Maxillary second molar intrusion with skeletal anchorage

INTRODUCTION: Skeletal anchorage enables targeted interventions for pre-prosthetic corrections, whether for dental crowns or implants. Patients with limited bone structure or contraindications for prior orthodontic treatment may present limitations in using skeletal anchorage. OBJECTIVE: To present a clinical case report involving the intrusion of an upper second molar to correct the interocclusal space, enabling the rehabilitation of its antagonist. This is a case with a quick and effective...

Leia mais
Invisalign Palatal Expander: a new option for rapid maxillary expansion in growing patients
Invisalign Palatal Expander: a new option for rapid maxillary expansion in growing patients

INTRODUCTION: The Invisalign Palatal Expander (IPE) is a recent innovation developed by Align Technology, launched in Brazil in 2025, designed to achieve rapid maxillary expansion in growing patients. OBJECTIVE: This article presents a clinical case involving a 7-yearold patient with a unilateral posterior crossbite treated using the IPE, highlighting the clinical progression and treatment outcomes. CASE REPORT: A total of 40 expanders were used, providing 10 mm of expansion over 30...

Leia mais
Variations in the application of force in  the Carriere type distalizer. Part II:  Effect on lower molars
Variations in the application of force in the Carriere type distalizer. Part II: Effect on lower molars

INTRODUCTION: This Part II discuss the mechanical diagramming of Carriere type distalizers. OBJECTIVE: The objective is to analyze the impact of this diagramming in the vertical/anteroposterior plane of the mandibular dentition. CONCLUSION: An analysis focusing on the positioning of supporting accessories was performed, suggesting that applying force to the first molar, positioned more mesially, reduces the tendency for unwanted angulation, minimizing side effects.

Leia mais
Space closure with mini-implants in a skeletal Class lll patient with multiple tooth agenesis: case report
Space closure with mini-implants in a skeletal Class lll patient with multiple tooth agenesis: case report

INTRODUCTION: Space management of tooth agenesis is often reported as an additional challenge for orthodontic treatment and, when associated with skeletal malocclusion, makes the treatment more complex. OBJECTIVE: The objective of this case report was to present an orthopedic treatment followed by comprehensive orthodontic treatment of a severe skeletal Class III patient with multiple tooth agenesis. CASE REPORT: A 14-year-old male had an atypical treatment plan, starting with facemask...

Leia mais
Compensatory treatment of hyperdivergent Class II malocclusion: case report
Compensatory treatment of hyperdivergent Class II malocclusion: case report

INTRODUCTION: The treatment of hyperdivergent Class II malocclusion poses a significant challenge for orthodontists. When orthognathic surgery is not an option, orthodontic camouflage, which often involves premolar extractions, can be a viable alternative. OBJECTIVE: An 18-year-old male patient with skeletal Class II malocclusion, protrusion, forced lip sealing, a convex facial profile, and a retruded mandible that was turned clockwise, was treated with orthodontic camouflage. CASE REPORT:...

Leia mais
Prevalence of malocclusion and associated variables in children up to 4 years old followed in primary health care in southern Brazil
Prevalence of malocclusion and associated variables in children up to 4 years old followed in primary health care in southern Brazil

INTRODUCTION: Malocclusion can be caused by hereditary/ congenital and/or acquired causes. It is considered a disharmony between the teeth and the musculoskeletal tissues of the face that is established throughout growth and development, resulting from a combination of predisposing factors, such as social and behavioral factors. OBJECTIVE: Determine the prevalence of malocclusion in children up to 4 years old and its association with demographic, socioeconomic, environmental, maternal...

Leia mais
Compensatory orthodontic retreatment of skeletal and dental Class II using intermaxillary elastics with asymmetrical forces: case report
Compensatory orthodontic retreatment of skeletal and dental Class II using intermaxillary elastics with asymmetrical forces: case report

OBJECTIVE: This case report describes the orthodontic retreatment of a 17-year and 11-month-old patient presenting with skeletal and dental Class II malocclusion, with residual spaces in the upper arch after seven years of incomplete treatment. CASE REPORT: The diagnosis revealed a convex facial profile, mandibular retrusion, transverse occlusal plane cant, and a Class II division 2 subdivision right relationship, with deep overbite. The proposed treatment plan involved the compensation of...

Leia mais

Copyright © 1998 - 2022 DentalGO | Todos Direitos Reservados. DentalGO é uma marca Dental Press