Artigo: Comparación entre escaneos intraorales e impresiones de alginato en pacientes sometidos a tratamiento de Ortodoncia. Evaluación de la percepción y preferencia de los participantes: un estudio piloto - Clinical 2025 v24n05 - Clinical Orthodontics


Comparación entre escaneos intraorales e impresiones de alginato en pacientes sometidos a tratamiento de Ortodoncia. Evaluación de la percepción y preferencia de los participantes: un estudio piloto

Artigo Original

OBJETIVO: Este estudio tuvo como objetivo evaluar las preferencias de los pacientes sometidos a tratamiento de Ortodoncia entre el escaneo intraoral de arcada completa y las impresiones de alginato, así como su percepción del ortodoncista que utiliza escáneres intraorales. MÉTODOS: Una muestra de conveniencia de dieciséis pacientes de Ortodoncia se sometió a un escaneo intraoral de arcada completa y a una toma de impresión con alginato. Inmediatamente después del procedimiento, respondieron un cuestionario. Los pacientes calificaron sus percepciones en una escala Likert de 4 puntos...

Autores: Matheus Melo Pithon, Eduardo Franzotti Sant’anna, Raildo Da Silva Coqueiro, Bruna Caroline Tomé Barreto, Eduardo Otero Amaral Vargas, 

Contenção, recidiva e movimentação dentária inadvertida: o desafio silencioso desse inimigo invisível da Ortodontia
Contenção, recidiva e movimentação dentária inadvertida: o desafio silencioso desse inimigo invisível da Ortodontia

A contenção sempre foi tratada como o capítulo final da Ortodontia — quando, na verdade, sabemos que ela representa apenas o início da fase mais longa, difícil e, muitas vezes, mais imprevisível pós-tratamento ortodôntico, especialmente se usamos contenções fixas. Pois é, meus amigos, apesar dos avanços tecnológicos que vivenciamos na Ortodontia nos últimos 20 anos — em especial o diagnóstico e planejamento 3D, a impressão direta de braquetes e alinhadores, a ancoragem...

Leia mais
Entrevista com Eduardo Sant’Ana
Entrevista com Eduardo Sant’Ana

Com muita honra e apreço apresento-lhes nesta entrevista o meu amigo, o pesquisador, o mentor, o clínico... o Prof. Eduardo Sant’Ana. Em 1997, tive a oportunidade e o privilégio de conhecer o Eduardo no meu curso de Doutorado em Ortodontia na FOB-USP. Na verdade, fui seu aluno na Disciplina de Cirurgia Ortognática. Desde então, o Eduardo tem sido o meu cirurgião para casos de Ortognática, e compartilhamos belíssimos casos que foram esculpidos e lapidados com deleite pelas mãos do...

Leia mais
Compensação dentoesquelética extrema de mordida aberta anterior esquelética severa tratada com Invisalign®
Compensação dentoesquelética extrema de mordida aberta anterior esquelética severa tratada com Invisalign®

INTRODUÇÃO: A mordida aberta anterior é uma má oclusão desafiadora, frequentemente associada a discrepâncias esqueléticas e verticais. Com a evolução da tecnologia dos alinhadores transparentes, o Invisalign® tornou-se uma opção viável para o tratamento de casos complexos, quando planejado adequadamente. RELATO DE CASO: Este relato de caso descreve o tratamento de uma paciente com 28 anos de idade, com mordida aberta anterior esquelética grave e leve relação de Classe III...

Leia mais
Prevalência e necessidade de customização em expansores MARPE: influência anatômica e biomecânica em 120 casos planejados digitalmente
Prevalência e necessidade de customização em expansores MARPE: influência anatômica e biomecânica em 120 casos planejados digitalmente

OBJETIVO: Avaliar a prevalência e os fatores anatômicos e biomecânicos que determinaram o grau de customização em expansores maxilares tipo MARPE planejados digitalmente. MÉTODOS: Foram analisados 120 planejamentos consecutivos realizados em um centro de diagnósticos em Sorocaba/SP, com integração entre tomografia computadorizada de feixe cônico (TCFC) e modelos digitais STL. Os aparelhos foram classificados segundo o grau e o tipo de modificação anatômica e biomecânica,...

Leia mais
Protocolo de aumento da altura facial anterior inferior em pacientes adultos não cirúrgicos. Uma abordagem biomecânica conservadora, com rotação horária da mandíbula: relato de caso
Protocolo de aumento da altura facial anterior inferior em pacientes adultos não cirúrgicos. Uma abordagem biomecânica conservadora, com rotação horária da mandíbula: relato de caso

INTRODUÇÃO: A abordagem cirúrgica representa a terapêutica mais frequentemente indicada para adultos com face curta. No entanto, alternativas ortodônticas menos invasivas podem oferecer resultados funcionais e estéticos satisfatórios em casos criteriosamente selecionados. Pacientes com altura facial anterior inferior (AFAI) diminuída, perfil côncavo e sorriso com baixa exposição dentária podem se beneficiar de protocolos biomecânicos que promovem rotação mandibular no sentido...

Leia mais
Otimizando os resultados dos alinhadores ortodônticos com mecânicas auxiliares: relatos de caso
Otimizando os resultados dos alinhadores ortodônticos com mecânicas auxiliares: relatos de caso

INTRODUÇÃO: A terapia com alinhadores é uma abordagem ortodôntica amplamente utilizada. No entanto, realizar certos movimentos, como rotação e extrusão, continua sendo desafiador. Essa dificuldade é particularmente evidenciada em dentes com formas mais arredondadas, como caninos e pré-molares, e em casos de extrusão de incisivos. Isso muitas vezes resulta em precisão reduzida do tratamento. OBJETIVO: Este estudo teve como objetivo apresentar casos clínicos em que a mecânica...

Leia mais
Comparação entre escaneamentos intrabucais e moldagens com alginato em pacientes em tratamento ortodôntico. Avaliação da percepção e preferência dos participantes: estudo piloto
Comparação entre escaneamentos intrabucais e moldagens com alginato em pacientes em tratamento ortodôntico. Avaliação da percepção e preferência dos participantes: estudo piloto

OBJETIVO: Este estudo teve como objetivo avaliar as preferências de pacientes em tratamento ortodôntico entre o escaneamento intrabucal de arcada completa e a moldagem com alginato, bem como sua percepção sobre o ortodontista que utiliza scanners intrabucais. MÉTODOS: Uma amostra de conveniência de dezesseis pacientes ortodônticos foi submetida ao escaneamento intrabucal de arcada completa e à moldagem com alginato e, imediatamente após os procedimentos, respondeu a um...

Leia mais
Tratamento ortodôntico-cirúrgico de má oclusão de Classe II esquelética usando alinhadores
Tratamento ortodôntico-cirúrgico de má oclusão de Classe II esquelética usando alinhadores

OBJETIVO: Relatar o caso clínico de um paciente com má oclusão de Classe II esquelética e dentária, com queixa principal inicial de roncopatia e queixa secundária sobre o perfil e a estética facial (sorriso). RELATO DO CASO: De posse dos elementos diagnósticos, avaliação clínica e facial, optou-se por um tratamento ortodôntico-cirúrgico. Após elaboração do plano digital (ClinCheck®, Align Technology) e recebimento da sequência de 67 alinhadores, seguiu-se com distalização...

Leia mais
Retenedores, recurrencia y movimiento dental inadvertido: el desafío silencioso de este enemigo invisible de la Ortodoncia
Retenedores, recurrencia y movimiento dental inadvertido: el desafío silencioso de este enemigo invisible de la Ortodoncia

La retención siempre se ha tratado como el capítulo final de la Ortodoncia, cuando, de hecho, sabemos que representa solo el comienzo de la fase más larga, más difícil y, a menudo, más impredecible del postratamiento de Ortodoncia, especialmente si utilizamos retenedores fijos. Bueno, mis amigos, a pesar de los avances tecnológicos que hemos experimentado en Ortodoncia en los últimos 20 años —especialmente el diagnóstico y planificación 3D, la impresión directa de brackets y...

Leia mais
Entrevista con Eduardo Sant’Ana
Entrevista con Eduardo Sant’Ana

Con gran honor y agradecimiento, les presento en esta entrevista a mi amigo, investigador, mentor y clínico... el profesor Eduardo Sant’Ana. En 1997, tuve la oportunidad y el privilegio de conocer a Eduardo durante mis estudios de Doctorado en Ortodoncia en la FOB-USP. De hecho, fui su alumno en el Departamento de Cirugía Ortognática. Desde entonces, Eduardo ha sido mi cirujano para casos ortognáticos, y hemos compartido hermosos casos esculpidos y pulidos con deleite por las manos del...

Leia mais
Compensación dentoesquelética extrema para mordida abierta anterior esquelética severa tratada con Invisalign
Compensación dentoesquelética extrema para mordida abierta anterior esquelética severa tratada con Invisalign

INTRODUCCIÓN: : La mordida abierta anterior es una maloclusión compleja, a menudo asociada con discrepancias esqueléticas y verticales. Con la evolución de la tecnología de alineadores transparentes, (los alineadores) Invisalign® se han convertido en una opción viable para el tratamiento de casos complejos con una planificación adecuada. CASO CLÍNICO: Este caso clínico describe el tratamiento de una paciente de 28 años con mordida abierta anterior esquelética severa y una...

Leia mais
Prevalencia y necesidad de personalización en expansores MARPE: influencia anatómica y biomecánica en 120 casos planificados digitalmente
Prevalencia y necesidad de personalización en expansores MARPE: influencia anatómica y biomecánica en 120 casos planificados digitalmente

OBJETIVO: Evaluar la prevalencia y los factores anatómicos y biomecánicos que determinan el grado de personalización en expansores maxilares tipo MARPE planificados digitalmente. MÉTODOS: Se analizaron 120 planes de tratamiento consecutivos realizados en un centro de diagnóstico en Sorocaba/SP, integrando tomografía computarizada de haz cónico (CBCT) y modelos digitales STL. Los expansores se clasificaron según el grado y tipo de modificación anatómica y biomecánica, desde...

Leia mais
Protocolo para aumentar la altura facial anterior inferior en pacientes adultos no quirúrgicos. Abordaje biomecánico conservador, con rotación horaria de la mandíbula: reporte de un caso
Protocolo para aumentar la altura facial anterior inferior en pacientes adultos no quirúrgicos. Abordaje biomecánico conservador, con rotación horaria de la mandíbula: reporte de un caso

INTRODUCCIÓN: Los abordajes quirúrgicos son el tratamiento más frecuentemente indicado para adultos con rostros cortos. Sin embargo, alternativas de Ortodoncia menos invasivas pueden ofrecer resultados funcionales y estéticos satisfactorios en casos cuidadosamente seleccionados. Los pacientes con altura facial anterior inferior (AFAI) reducida, perfil cóncavo y sonrisa con baja exposición dental pueden beneficiarse de protocolos biomecánicos que promueven la rotación horaria mandibular,...

Leia mais
Optimización de los resultados del tratamiento con alineadores Ortodóncicos mediante mecánicas auxiliares: reporte de casos
Optimización de los resultados del tratamiento con alineadores Ortodóncicos mediante mecánicas auxiliares: reporte de casos

INTRODUCCIÓN: La terapia con alineadores es un enfoque ortodóncico ampliamente utilizado. Sin embargo, la realización de ciertos movimientos, como la rotación y la extrusión, sigue siendo un desafío. Esta dificultad es particularmente evidente en dientes con formas más redondeadas, como caninos y premolares, y en casos de extrusión de incisivos. Esto a menudo resulta en una menor precisión del tratamiento. OBJETIVO: Este estudio tuvo como objetivo presentar casos clínicos en los...

Leia mais
Comparación entre escaneos intraorales e impresiones de alginato en pacientes sometidos a tratamiento de Ortodoncia. Evaluación de la percepción y preferencia de los participantes: un estudio piloto
Comparación entre escaneos intraorales e impresiones de alginato en pacientes sometidos a tratamiento de Ortodoncia. Evaluación de la percepción y preferencia de los participantes: un estudio piloto

OBJETIVO: Este estudio tuvo como objetivo evaluar las preferencias de los pacientes sometidos a tratamiento de Ortodoncia entre el escaneo intraoral de arcada completa y las impresiones de alginato, así como su percepción del ortodoncista que utiliza escáneres intraorales. MÉTODOS: Una muestra de conveniencia de dieciséis pacientes de Ortodoncia se sometió a un escaneo intraoral de arcada completa y a una toma de impresión con alginato. Inmediatamente después del procedimiento,...

Leia mais
Tratamiento ortodóncico-quirúrgico de la maloclusión Clase II esqueletal mediante alineadores
Tratamiento ortodóncico-quirúrgico de la maloclusión Clase II esqueletal mediante alineadores

OBJETIVO: Reportar el caso clínico de un paciente con maloclusión esquelética y dental de Clase II, con ronquidos como queja principal inicial y una queja secundaria relacionada con el perfil facial y la estética (sonrisa). INFORME DEL CASO: Con base en los elementos diagnósticos y la evaluación clínica y facial, se optó por un tratamiento ortodóncico-quirúrgico. Tras elaborar el plan de tratamiento digital (ClinCheck,® Align Technology) y recibir la secuencia de 67 alineadores,...

Leia mais
Retention, relapse, and inadvertent tooth movement: the silent challenge of orthodontics’ invisible enemy
Retention, relapse, and inadvertent tooth movement: the silent challenge of orthodontics’ invisible enemy

Retention has always been treated as the final chapter of Orthodontics—when, in fact, we know that it represents only the beginning of the longest, most difficult, and often most unpredictable post-orthodontic treatment phase, especially if we use fixed retainers. Well, my friends, despite the technological advances we have experienced in Orthodontics over the last 20 years — especially 3D diagnosis and planning, direct printing of brackets and aligners, skeletal anchorage, and the...

Leia mais
Interview with Eduardo Sant’Ana
Interview with Eduardo Sant’Ana

With great honor and appreciation, I present to you in this interview my friend, researcher, mentor, clinician... Professor Eduardo Sant’Ana. In 1997, I had the opportunity and privilege of meeting Eduardo during my Doctoral studies in Orthodontics at FOB-USP. In fact, I was his student in the Orthognathic Surgery Department. Since then, Eduardo has been my surgeon for orthognathic cases, and we have shared beautiful cases that were sculpted and polished with delight by the Eduardo’s...

Leia mais
Extreme dentoalveolar compensation of a severe skeletal anterior open bite with Invisalign®
Extreme dentoalveolar compensation of a severe skeletal anterior open bite with Invisalign®

INTRODUCTION: Anterior open bite is a challenging malocclusion, often associated with skeletal and vertical discrepancies. With the evolution of clear aligner technology, Invisalign® has become a viable option for treating complex cases when appropriately planned. CASE REPORT: This case report describes the treatment of a 28-year-old female patient with a severe skeletal anterior open bite and a slight Class III molar and canine relationship. The treatment involved the use of Invisalign®...

Leia mais
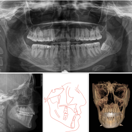
Prevalence and need for customization in MARPE expanders: anatomical and biomechanical influence in 120 digitally planned cases
Prevalence and need for customization in MARPE expanders: anatomical and biomechanical influence in 120 digitally planned cases

OBJECTIVE: To evaluate the prevalence and the anatomical and biomechanical factors that determined the degree of customization in digitally planned MARPEtype maxillary expanders. METHODS: A total of 120 consecutive digital plans were analyzed from the KDO Planning Center, integrating cone-beam computed tomography (CBCT) and STL digital models. The appliances were classified according to the degree and type of anatomical and biomechanical modification, ranging from height adjustments to fully...

Leia mais
Protocol for increasing the lower anterior facial height in non-surgical adult patients. A conservative biomechanical approach with clockwise rotation of the mandible: case report
Protocol for increasing the lower anterior facial height in non-surgical adult patients. A conservative biomechanical approach with clockwise rotation of the mandible: case report

INTRODUCTION: The surgical approach remains the most frequently recommended therapy for adults with a short face. However, less invasive orthodontic alternatives may offer satisfactory functional and esthetic outcomes in carefully selected cases. Patients with reduced Lower Anterior Facial Height (LAFH), concave profile, and low smile line can benefit from biomechanical protocols that promote clockwise rotation of the mandible, enhancing facial balance and incisor exposure. As a...

Leia mais
Optimizing clear aligner outcomes with auxiliary mechanics: case reports
Optimizing clear aligner outcomes with auxiliary mechanics: case reports

INTRODUCTION: Clear aligner therapy is a widely used orthodontic approach; however, achieving certain movements, such as rotation and extrusion, remains challenging. These difficulties are particularly pronounced in rounded teeth, such as canines and premolars, and in cases of incisor extrusion, often resulting in reduced treatment accuracy. OBJECTIVE: This study aims to present two clinical cases in which auxiliary mechanics were used to enhance rotational and extrusion movements,...

Leia mais
Comparison of intraoral scans and alginate impression on on-going orthodontic patients. Subjects’ perception and preference evaluation: pilot study
Comparison of intraoral scans and alginate impression on on-going orthodontic patients. Subjects’ perception and preference evaluation: pilot study

INTRODUCTION: This study aimed to assess on-going orthodontic patients’ preferences between full-arch intraoral scanning and alginate impression, and also their perception about the orthodontist who uses intraoral scanners. METHODS: A convenience sample of sixteen orthodontic patients underwent full-arch intraoral scanning and alginate impressions, and, immediately after the procedures, answered a questionnaire. The patients scored their perceptions on a 4-point Likert and selected the...

Leia mais
Orthodontic-surgical treatment of skeletal Class II malocclusion using aligners
Orthodontic-surgical treatment of skeletal Class II malocclusion using aligners

OBJECTIVE: To describe the clinical management of a patient with skeletal and dental Class II malocclusion, presenting with snoring as the chief complaint and secondary concerns related to facial profile and smile aesthetics. CASE REPORT: A combined orthodontic-surgical treatment approach was planned following comprehensive diagnosis, as well as clinical and facial evaluation. A digital treatment plan (ClinCheck, Align Technology) was developed, and a sequence of 67 aligners was used for...

Leia mais

Copyright © 1998 - 2022 DentalGO | Todos Direitos Reservados. DentalGO é uma marca Dental Press